Especial 20 Aniversario: 70% de descuento en todos los cursos online, excepto Trilogías.
Planificación en estética: de la pantalla a la clínica
Del análisis al mockup: tu nuevo flujo estético empieza aquí.
- Más de 30 lecciones con casos clínicos y explicativos.
- Digitaliza tu mirada clínica, transforma tus resultados.
Ver trailer
Planificación Digital en Estética: De la Pantalla a la Clínica.
Planifica, diseña y presenta tratamientos estéticos con las herramientas digitales más actuales.
Dr. Miquel Àngel Nicolau Sansó
- Más de 30 lecciones con casos clínicos y explicativos.
- Digitaliza tu mirada clínica, transforma tus resultados.

Características
Descripción
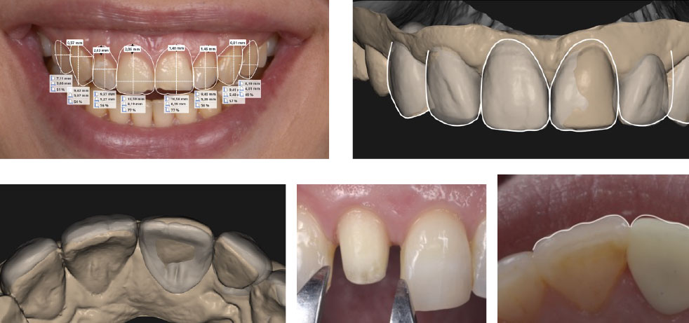
La odontología estética ha cambiado para siempre. Hoy, los tratamientos ya no empiezan en boca: empiezan en la pantalla. La planificación digital es la herramienta que permite al clínico analizar, diseñar y comunicar con una precisión imposible en el flujo tradicional. Sin embargo, muchos profesionales continúan trabajando sin un sistema estructurado, cometiendo errores de base que se arrastran desde la fotografía hasta el mockup.Este curso está diseñado para resolver exactamente ese problema.
Planificación Digital en Estética es una formación completa, clínica y 100% aplicada, donde aprenderás un método claro y replicable: el Método DADE (Documentación → Análisis → Diseño → Entrega). Un flujo que te permitirá afrontar cualquier caso estético con mayor criterio, precisión diagnóstica y seguridad comunicativa.
El curso empieza con los fundamentos: entender qué es realmente el análisis estético y cómo aplicarlo de forma objetiva en clínica. Aprenderás a detectar canteos, simetrías, proporciones, exposición gingival y los elementos clave que determinan la armonía facial y dental. A partir de ahí, avanzarás hacia la toma correcta de fotografías clínicas, escaneados intraorales y registros complementarios, siguiendo protocolos claros y reproducibles que garantizan resultados consistentes.
Una vez establecida la base diagnóstica, entrarás en el entorno digital. El curso utiliza DTS 3D, un software potente, accesible y en crecimiento, con una licencia gratuita de 6 meses para los alumnos. Aprenderás a cargar y calibrar imágenes, realizar un análisis 2D real, alinear STL, diseñar un mockup 3D y exportarlo para impresión o fabricación.
El curso también incluye la aplicación clínica del mockup en boca: cómo preparar al paciente, cómo colocarlo, cómo ajustarlo y cómo utilizarlo como herramienta de comunicación visual y emocional. Comprenderás qué esperar, cómo interpretar la respuesta del paciente y cómo evitar errores comunes en la fase de entrega.
Además, trabajarás con casos reales grabados en formato videotutorial, para que puedas ver el flujo completo tal y como se realiza en un día real de clínica.
Bienvenido a un curso clínico, directo y visual que transformará tu forma de planificar estética.
Contenidos
- Tener un método claro y clínicamente sensato para planificar estética.
- Aprender a analizar y diseñar con criterio, no con intuición.
- Integrar por fin un flujo digital ordenado en tu trabajo diario.
- Mejorar tu comunicación con pacientes y laboratorio.
- Reducir errores y aumentar el valor percibido de tu trabajo.
- Presentacion del curso
- Que aprenderas en este curso
- Introduccion al analisis digital
- Origen del analisis digital de la sonrisa
- El problema del canteo
- Encerado sin referencias
- Del arco facial analogico al digital
- El metodo DADE
- Sin buenos registros no hay buen diseño
- Fotografia extraoral
- Fotografia intraoral
- Escaneado intraoral
- Completa tu protocolo de documentacion
- DTS tu herramienta de diseño
- Flujo de trabajo con dts
- Primeros pasos con dts
- El analisis estetico De la foto al diseño
- Nivel facial El marco de todo el analisis
- Nivel sonrisa Curvas encia y equilibrio
- Nivel dental tamaño forma y preparacion
- Analisis 2d en dts PARTE 1
- Analisis 2d en dts PARTE 2
- Analisis 2d en dts PARTE 3
- Diseño 3D en dts PARTE 1
- Diseño 3d en dts PARTE 2
- Entrega y mockup De la pantalla a la clinica
- Como preparar al paciente para el mockup
- Como llevar el mock up a la boca
- Alternativas al mock up
- Cuando diseña el laboratorio
- Caso clinico 1
- Caso clinico 2
- Caso clinico 3
- Caso clinico 4
- Caso clinico 5
- Cierre
Casos del curso
Ponentes







