TRILOGÍA DE COMPOSITES
BE THE BEST
Domina los composites y transforma tu práctica clínica ofreciendo tratamientos predictibles, eficientes y de alta rentabilidad
1 Carillas Inyectadas
2 Resinas Posteriores
3 Estrategias y Protocolos
TRILOGÍA DE COMPOSITES
BE THE BEST
1 Carillas Inyectadas
2 Resinas Posteriores
3 Estrategias y Protocolos
Domina los composites y transforma tu práctica clínica ofreciendo tratamientos predictibles, eficientes y de alta rentabilidad
Características
Descripción
La Trilogía de Composites reúne en un único pack tres formaciones fundamentales para elevar tu práctica clínica a la excelencia absoluta en restauraciones adhesivas. Desde las carillas inyectadas en composites para lograr resultados estéticos excepcionales en el sector anterior con Patricia Elias y Juan Ruiz (18 lecciones), hasta el dominio total en restauraciones posteriores de alta calidad con Pablo Santoro (16 lecciones), culminando con las claves estratégicas y protocolos clínicos avanzados de Rafael Calixto (22 lecciones), este pack está diseñado para transformar integralmente tu capacidad operativa y visión estratégica. Accede a técnicas, procedimientos y secretos de éxito que marcarán una clara diferencia en tu día a día profesional.
Trailers
Carillas Inyectadas
Resinas Posteriores
Estrategias y Protocolos
Problema / Solución
🦷 EL PROBLEMA: Lo que muchos odontólogos enfrentan
Muchos profesionales enfrentan dificultades en lograr resultados consistentes y predecibles con composites debido a técnicas desactualizadas, falta de protocolos claros y estrategias poco eficientes.
LA SOLUCIÓN: Lo que aprenderás en estos cursos
La Trilogía de Composites ofrece la solución definitiva combinando formación específica, protocolos actualizados y estrategias clínicas validadas. De esta manera, no solo podrás garantizar resultados excepcionales para tus pacientes, sino también mejorar significativamente la eficiencia operativa y rentabilidad de tu práctica clínica. Adquiere este pack para convertirte en un experto reconocido en restauraciones con composites.
Casos
Casos de Carillas Inyectadas
Casos de Resinas Posteriores
Casos de Estrategias y Protocolos
Contenidos
- Técnicas avanzadas de carillas inyectadas en sector anterior.
- Dominio experto en restauraciones posteriores con resinas.
- Estrategias clínicas probadas para maximizar éxito y rentabilidad.
- Presentación curso
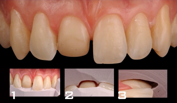
- Carillas de composite inyectado
- Protocolo fotográfico
- Smilecloud
- Diseño 3D
- Confección de llave de mockup
- Mockup y translucidez
- Secuencia de tallado para carillas Parte 1
- Secuencia de tallado para carillas Parte 2
- Confección de llave de inyección
- Indicaciones de uso y ventajas del modelo intercalado
- Carilla prueba color
- Consejos previos antes de inyectar
- El arte del teflón y el acondicionamiento del diente
- Protocolo y tips para carillas inyectadas
- Pulido
- Bonustrack: 5 Tips
- Examen final
- Presentación del curso
- Resinas:
Parte 1
Parte 2 - Resinas Posteriores:
Parte 1
Parte 2
Parte 3 - Técnica. Build up y elevación de margen gingival.
- Técnica. Preparaciones cavitarias.
- Técnica. Sellado dentinario inmediato. Sellado dentinario inmediato. Impresiones. Modelos de trabajo.
- Técnica. Estratificación.
- Técnica. Cementado.
- Colocación del sistema de matriz.
- Confección cara proximal.
- Confección de capas de dentina.
- Pigmentado de surcos.
- Resina indirecta posterior Confección de dentina.
- Resina indirecta posterior Confección cara proximal.
- Resina indirecta posterior Pulido.
- 5 Tips del Dr. Santoro.
- Examen Final
- Introducción al manejo estético y funcional en denticiones desgastadas
- Selección del composite para la rehabilitación del sector anterior
- Estrategias de Estratificación sobre dientes desgastados
- Estrategias de Estratificación sobre dientes muy destrozados.
- Resistencia de los Composites – Parte 1 – falar das diferentes partículas
- Resistencia de los Composites – Parte 2 – falar de polimeriacao
- Protocolo Anatómico Sectorial 1: La forma básica
- Protocolo Anatómico Sectorial 2: Inclinaciones Periféricas
- Check–List Estético – Parte 1 – Simetría y Dominio de los centrales
- Check–List Estético – Parte 2 – Línea media y Proporción dental
- Check–List Estético – Parte 3 – Posición del borde incisal
- Análisis Funcional 1: Posición del borde incisal y la función
- Análisis Funcional 2: Desgaste oclusal y la dimensión vertical
- Caso Clínico: Carillas aditivas con pequeño aumento del borde incisal (<1mm)
- Caso Clínico: Carillas aditivas con aumento del borde incisal (>1mm)
- Caso Clínico: Reconstrucción de dientes destrozados (sector anterior)
- Caso Clínico: Carillas oclusales indirectas para aumento de la DVO
- Caso Clínico: Carillas palatinas indirectas para las guías funcionales
- Caso Clínico: Protocolo de Acabado y Pulido
- Demostrativo: Carillas aditivas con aumento del borde incisal
- Demostrativo: Técnica Indirecta Posterior
- Demostrativo: Protocolo de Acabado y Pulido
+ BONUS TRACK: 5 artículos técnicos y 3 capítulos del libro del Dr. Calixto
Ponentes
Especialízate ya
BE THE BEST
1 Carillas Inyectadas
2 Resinas Posteriores
3 Estrategias y Protocolos











